初めてご来院の方へ
ホーム - 初めてご来院の方へ
事例
CASE
Oさん(30代・女性) 上顎のみホワイトコート
BEFORE
AFTER
施術を受けられての感想
幼い頃からの悩みが「歯が黒い」「歯並びが悪い」でした。
大人になってもう一つ増え「歯の質も悪い」。
長年、お世話になっている今井先生からホワイトニングを薦めて頂き、ずっと諦めていた白い歯を一瞬にして手に入れる事が出来、とても幸せです!
ホワイトニングのお陰で、若干ですが歯並びの悪さも目立たなくなったように思えます。
ホワイトニング後は、せっかくの白い歯が黒くなっては大変!と食後はすぐに歯を磨き、だらだら間食することもなくなりました。
歯が白くなった事で、長年のコンプレックスもなくなりました。
その上、歯に対する意識が高まり、お口の健康管理面でも、ホワイトニングをして本当に良かったです!!
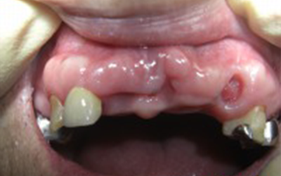
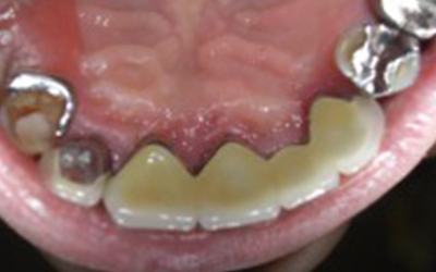
Aさん(70代・男性) インプラント
BEFORE
AFTER
BEFORE
AFTER
治療内容
交通事故により前歯4本を破損。
抜歯した直後に入れるインプラント治療を行いました。
自然の治癒を活かし、苦痛を抑えることができる治療法です。
Kさん(60代・女性) インプラント


治療内容
「入れ歯との組み合わせ」
現在入れ歯の人も、少ない本数のインプラントで対応が可能。
通常は全部インプラントがベストですが、入れ歯との組み合わせも可能です。
「入れ歯が安定する」「ガタガタしない」というメリットがあります。
お声
VOICE
Voice.01

予防歯科のおかげで、虫歯や歯周病が防げている実感があります。
定期的なチェックで、問題が早期に発見できるので
安心して過ごせています。
スタッフの方々もとても親切で、リラックスできる雰囲気なので、
毎回通うのが楽しみです。
Voice.02

歯科医院に通うのが面倒だと思っていましたが、予防ケアを受けることで、痛みを感じることが減り、健康な歯を保つことができています。
医院の雰囲気も明るくて、落ち着いた空間なので、怖がらずに通えるのがありがたいです。
Voice.03

子どもも一緒に通っていますが、予防歯科の大切さを学びながら、
楽しく通院できています。
スタッフの方々が子どもにも優しく接してくださり、医院全体の雰囲気が温かいので、安心して任せられます。
Voice.04

毎回、歯科衛生士さんから食生活や歯磨きのアドバイスをもらえて、
より意識が高まりました。
医院のスタッフは皆さんとてもフレンドリーで、居心地が良いため、
予防ケアも楽しみになっています。
健康な歯を保つために、これからも続けて通いたいと思います。
Voice.05

定期検診を受けることで、虫歯や歯周病のリスクを減らせていることが実感でき、これからも続けていこうと思います。
医院のスタッフはいつも親身に相談に乗ってくれて、
診療後のフォローアップもしっかりしていて、信頼できます。
よくある質問
FAQ
Q
初めての受診ですが、予約は必要ですか?
A
はい、当院は予約優先制となっております。事前にお電話よりご予約をお願いいたします。
Q
急に歯が痛くなったのですが、当日でも診てもらえますか?
A
できる限り対応いたしますので、まずはお電話でご相談ください。
Q
子どもを連れての受診は可能ですか?
A
はい、小さなお子さま連れの方も安心してご来院いただけるよう、親御さまも一緒に治療室へお入りいただけます。
お子さまのすぐそばで付き添っていただけますので、ご安心ください。
Q
駐車場はありますか?
A
はい、当院専用駐車場が3台ございます。お車でもお気軽にお越しください。
Q
保険診療と自費診療の違いを教えてください。
A
保険診療は国の基準に基づいた治療で、自費診療はより審美性や機能性を重視した自由な治療です。
詳しくはカウンセリング時にご説明いたします。
Q
ホワイトニングはやっていますか?
A
はい、当院ではご自宅でできる「ホームホワイトニング」をご案内しております。
Q
歯の定期検診はどのくらいの頻度で受けるべきですか?
A
通常は3~6か月に1回のペースがおすすめです。お口の状態によりご提案させていただきます。
Q
小児歯科も診てもらえますか?
A
はい、お子さまの虫歯予防やフッ素塗布、歯並びのご相談も受け付けております。






